フッ素(フッ化物)供給の意義と方法
 当院ではフッ素による歯質の強化や高齢者の歯根面う蝕の予防を心がけています


 フッ素が小児の歯のう蝕を抑制することはよく知られていますが、成人の歯に対してはもちろん、歯周病に侵された高齢者の歯の根面う蝕や知覚過敏などに対しても有効です。ではその抑制のメカニズムはどのようになっているのでしょうか。                  
 一般には歯質を構成している『ハイドロオキシアパタイト』が、フッ素と結びつくことによってより耐酸性に優れた『フルオロアパタイト』
に変化して、歯質全体の耐酸性(むし歯菌が作り出す酸によって歯質が侵される程度)が向上するためと考えられています。      
 さらに最近ではフッ素が象牙質に取り込まれなくても、ごくわずかなフッ素が周囲に存在するだけで、
象牙質の脱灰(だっかい=カルシウムなどの無機質が溶け出すこと)が抑制されるとも言われています。                                  
  
またフッ素がプラーク(歯垢)の中に蓄積すると、糖からの酸産生が抑制されますし、フッ素が吸着すると歯面の表面エネルギーが低下し、プラークが歯面に吸着しにくくなります。                                                 
 
フッ素の取り入れ方としては歯科医院における定期的なフッ素塗布(濃度は10000ppm)が有効ですが、そのほかに、日常の歯磨きにフッ素を多く含有する歯磨剤(1000ppm)を使うこと、さらにフッ化物による洗口(250〜450ppm)を毎日行うことも大切なことです。たとえば歯周病により歯肉が後退して歯根が露出しているような歯の場合、定期的なフッ素の取り入れにより、根面のむし歯を予防する効果があります。フッ素は歯冠部を被うエナメル質からよりも根面の象牙質からの方が吸収されやすく、従ってう蝕予防効果も大きくなります。


       
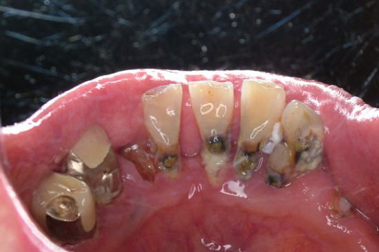
下顎前歯に見られる根面う蝕

              調布市 竹内歯科医院 042-486-0381

■戻る■

■BACK■  ■HOME■