|
変色歯の治療
当院では程度に応じた方法で変色歯の改善を行います
(ここでご紹介するのは光重合レジンによるものです。このほかオフィスホワイトニングやホームホワイトニングなど症例に応じた方法を選択します)
歯牙表面に着色物質などが付着して変色した歯ではなく、歯の深部内面から表面まで歯質が変色している場合は、表面のエナメル質を少し削除して、歯牙接着性の樹脂(光重合レジン)を接着させて回復を図ります。
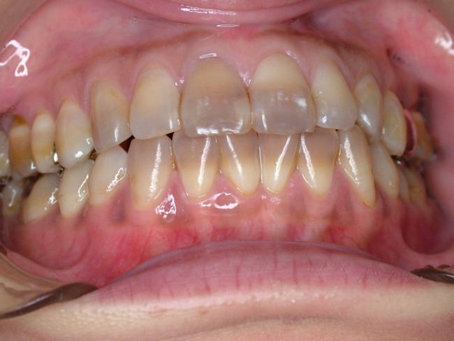
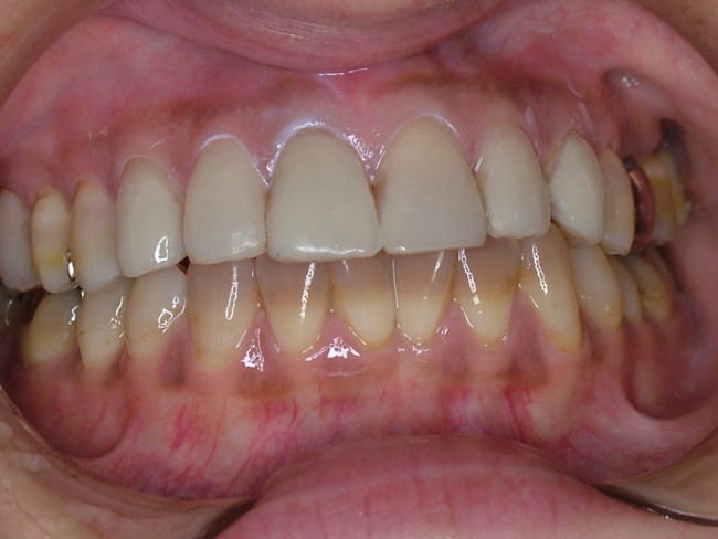
最近の当院での症例をご紹介します。この患者様は変色が全部の歯に及んでいるため、長期的治療が必要で、ここにご紹介するのは上顎前歯の6本を回復させた所です。

術前の状態
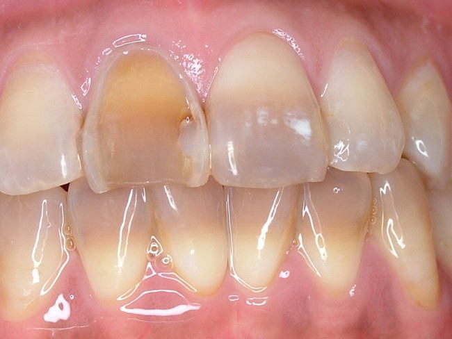
右上の中切歯を一層削除
した状態(変色が深部まで
見られます)

歯牙接着性樹脂で回復
この治療はすべて口腔内で行います。カタをとってラボ作業で作成し次回装着するという従来の方法とは異なります。また治療後も形態の変更(削除や添加など)は可能です。従って全部の歯を回復させた後で全体のバランスを考えて色や形を変えることが出来ます。
■戻る■ |