感染根管治療
根管治療は良い歯科治療の基本です
むし歯を放置していると中の方に進行して行って神経(歯髄)に達します。そこへ行くまでには、一般的には冷水にしみる→温熱にしみる→ズキズキ痛むという自覚症状の変化がありますがその都度対処を怠っていると多くの場合一時期症状が全く消えてしまいます。しかしやがて噛むと痛い、触っても痛いという症状が現われ、時には根の先端に相当する辺りの歯肉が腫れてきたりします。このように一旦症状が消えた辺りが神経が死んでしまって歯根が感染した『感染根管』の状態です。
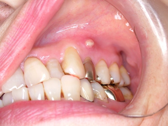
歯根先端の病巣から膿が出ようとしている所→
このような状態になったら根管ファイルいう針状のものを順次太さを増しながら用いて根管の汚染された壁を削り取り2種の薬液で洗浄を繰り返しながら拡大し、感染層を取り除くような治療を行うことになります。感染層の進行具合にもよりますが何日か繰り返して治療し、細菌培養などを行って、改善されたと判断できたら根管充填を行って治療を終えます。
日本歯科医師会資料より
けれどこうした根管治療でも治癒できないほど感染が進行していて、根尖部の歯槽骨の中の病巣を治せない場合は、病巣のソウハとか歯根端切除手術(下図)などの外科的な処置を行うこともあります。
調布市 竹内歯科医院 042-486-0381
■戻る■
■BACK■ ■HOME■
|