PMTC=歯のエステ

使用するブラシ類は歯と歯肉にやさしい素材で出来ています
PMTCとは簡単に言えば専門家(歯科衛生士)による歯のクリーニングのことです。
歯の表面には(見える部分も見えないポケットの中も)バイオフィルムといって細菌によって構成される膜ができています。これは通常のブラッシングでは取れません。これを取り除くことがPMTCの目的の第一です。ご自分で毎日磨いていても歯の根元やポケットの内面、歯と歯の間、歯の裏側などはなかなかきれいに磨ききれないものです。そうした汚れが知らずしらずに沈着していくとますますご自分では落とせなくなります。PMTCではタバコや茶渋などによる着色も落とすことができます。
このPMTCと日常の的確なブラッシングによって歯と歯肉の健康がはじめて維持されます。
PMTCはいわゆる治療ではなく、いわば『歯のエステ』です。

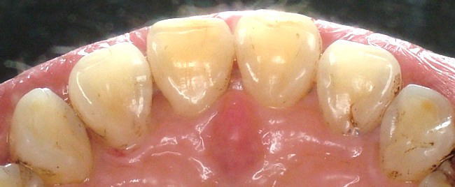
PMTC術前と術後
1 健康な人や歯周病の治療が一段落して定期的なチェックに移行している人
2 ご自分では十分磨けない箇所がある人
3 着色を定期的に落としたい人
4 お口のなかに爽快感を求める人
5 最終仕上げで行うフッ素塗布によるむし歯や知覚過敏に対して予防を心がけている人・ 歯質を丈夫にしたい人
などがその対象になります。
歯科衛生士にとっても熟練が要る仕事です。お口全体をきれいにするのに小一時間かかります。でも終わってみれば、ああもっと早くやればよかった、ということになることウケアイです。
当院ではPMTCと同時にリナメル処置(エナメル質の微細な傷を回復させる処置)とフッ素塗布を行います。
調布市 竹内歯科医院 042-486-0381
■戻る■ |