歯牙接着性樹脂によるむし歯治療
   当院では必要以上に歯を削らないですむ接着レジンを使っています

 むし歯は自然治癒しない病気です。歯に穴があいたら何かでそこを補ってやらない限り穴は大きくなることはあっても決して自然に埋まることはありません。
 今までその穴を埋める方法として多く行われてきたのはインレーとかクラウンと言って、歯のカタをとってワックスで詰め物の形をつくり、鋳造という方法で金属に置き換えて、それをつめたりかぶせたりする方法でした。
けれど近年『接着歯学』が発達して、白色の合成樹脂を歯に接着させてつめたりかぶせることができるようになりました。

この方法の良いところは


1 歯の削除量が少なくてすむこと 
2 審美性に優れている
3 二次むし歯(
一度治療した所が再びむし歯になること)になりにくいなどです。
 
 
むし歯の歯がどんな状態であっても必ず適用できるものではありませんが、当院は可能な限りこの優れた方法で治療したいと思っています。

      

   
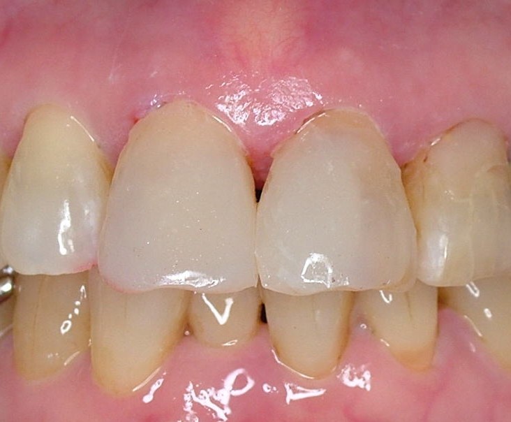
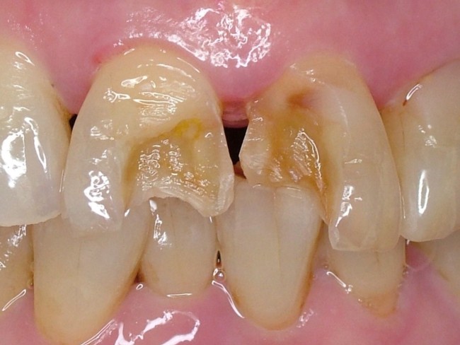
上の写真は歯牙接着性樹脂(光重合コンポジットレジン)によるむし歯治療の一例です。この治療は1回の通院で終了します。そして何よりも歯を削る量が極めて少なくてすむことが最大の利点です。

                調布市 竹内歯科医院 042-486-0381

■BACK■  ■HOME■