|
むし歯の好発部位(1本の歯でも特にむし歯が生じやすい部分)は3つあります。ひとつは咬合面=咀嚼する面のことで奥歯の上面の溝部分、二つ目は歯頚部=歯肉に接する部分、三つ目が隣接面=隣り合わせの歯がくっついている所、です。
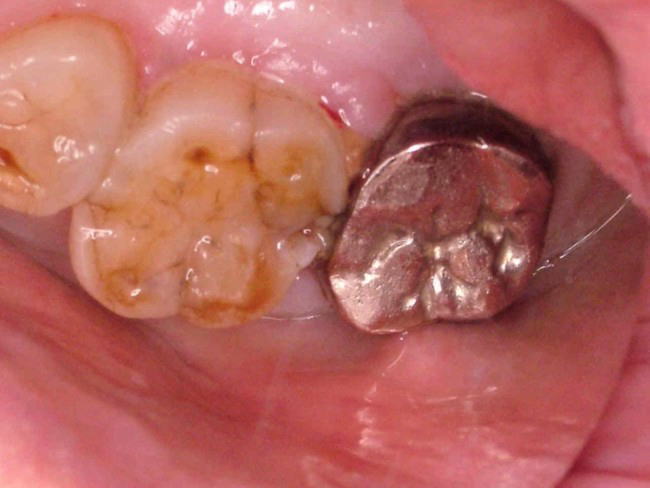
このうち健診などで見落としがちになるのが隣接面う蝕です。隣接面う蝕を初期のうちに見つけるには私たち歯科医でもかなり経験と熟練を要します。歯間離開器という器具を用いて隣り合う歯を少し開いてみないとなかなか分りません。下の写真は数ヶ月前には見つけられなかった隣接面う蝕のレントゲン像と口腔内写真です
平素からデンタルフロスを使っているとこの隣接面う蝕の発生に気づくことがあります。フロスの繊維が初期う蝕の粗面をこすることでほつれてくることがあります。 デンタルフロスの使用はう蝕を早期に発見するばかりでなく、常用することでむし歯を未然に防ぐことができます。

写真で左の歯(上顎第一大臼歯)が右の金属冠に接するところで隣接面う蝕になっています。
竹内歯科医院 042-486-0381
|