|
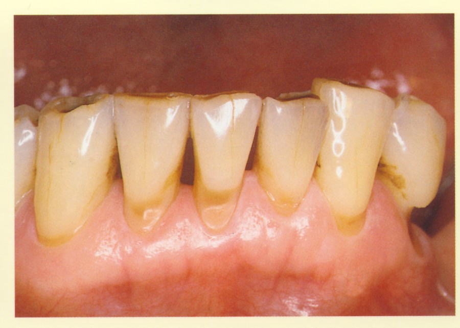
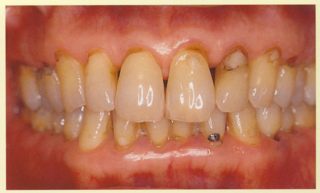
歯は人間の体の中でもっとも硬い組織です。ところがこの硬い歯がむし歯でもないのに削れてしまうことがあります。歯ブラシに歯磨き剤をたっぷりつけてごしごしと横磨きをしていると長い間には磨り減ってきます。そしていったん表面の硬い組織(エナメル質)が削れて内側の軟らかい象牙質が露出すると、そうしたブラッシングによってさらに容易に歯は削れてきます。こうして生じた歯質の欠損の形が楔(くさび)の形に似ていることから『楔状欠損」と呼びます。(写真左下)
また特定の歯の特定の方向に強い力が加わり続けると歯の根元近くの部分が減ってくることがあります(咬合性外傷)。
さらに楔状欠損の部位は抵抗力が弱いためむし歯になりやすくなります。(右下の写真)
 
写真は日本歯科医師会資料より転写
|